Identify the pathology on this AP and lateral x- ray of a patient who presents with chest pain s/p laprascopic appendectomy.
 |
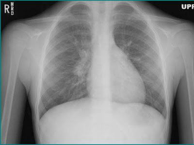
| Patient's chest x-ray |

 |
| Normal chest x-ray for comparison |
Pneumomediastinum. Note the "continuous diaphragm sign" in the patient's chest x-ray caused by air collecting inferiorly between the heart and diaphragm. Other signs of pneumomediastinum to look for, but which are not readily noted on this x-ray, include a thin layer of air adjacent to the heart or aorta separated from the lung by a fine line representing the displaced parietal pleura and air in the subcutaneous soft tissues of the chest and neck.
Pneumomediastinum, along with pneumothorax and pneumopericardium, are potential complications of laparoscopic surgery which can occur if there are embryonic remnants constituting channels of communication between the peritoneal cavity and the pleural and pericardial sacs that open when intraperitoneal pressure increases during the creation of pneumoperitoneum.
Source
Schwartz, D. Emergency Radiology: Case Studies. 2008.
Miller, R. et al. Miller's Anesthesia, 7th ed.
Image source, pneumomediastinum:
http://www.learningradiology.com/archives05/COW%20132-Pneumomediastinum/pneumomedcorrect.htm
Image source, normal chest x-ray:
http://blog.dianahsieh.com/2010/07/chest-pain-in-80-year-old-woman.html