Vertical augmentation of the posterior mandible remains challenging. A variety of approaches have been tried. Among them are:
- Short Implants
- Vertical augmentation using block grafts (autogenous,alloplastic as well as xenogenic).
- Vertical augmentation using tenting screws, and a mixture of autograft and bovine bone mineral covered with a titanium reinforced PTFE membrane barrier.This is quite popular.
- Vertical augmentation as above but using the implants themselves as tenting screws.
- Tilted implants where feasible.
- Transverse placement to avoid the IAN.
- Nerve repositioning/relocation.
- Subperiosteal implants if the resorption is down to basal bone. Not commonly used currently due to the high rate of failure and complications, technique sensitivity and lack of validating studies.
Another technique which does not enjoy the popularity it deserves is the interpositional graft. As far as techniques go I would rate it as moderately difficult but the results are phenomenal and complications are few. This has also been popularised by Ole Jensen as the "smile osteotomy" in his book
The Osteoperiosteal Flap
Here is an illustration from the book that illustrates the procedure
The case presented below differs in some respects.
- The interpositional graft used was a FDBA Bone Block from Tata Bone Bank in Mumbai not autogenous bone or particulate graft material..
- No bone plates were used to stabilise the fragments. In some cases this may be necessary.
The "smile" osteotomy

Mobilising the the fragment vertically. Note that the coronal fragment is still pedicled to the lingual mucosa. The incision in the soft tissue is vestibular rather than crestal. One can use a bur, peizosurgery saw or oscillating saw for this cut..One can easily create a gap of 5 to 6mm or more using this technique.
Maintaining the gap with a graft: Here we have used a block of FDBA from the
Tata Tissue Bank in Mumbai. Alternatively one can use autograft harvested from the chin or ramus , or practically any kind of allograft or xenograft by itself or mixed with autograft. In case of particulate autograft it may be necessary to stabilise the coronal fragment with plates and screws. This may be needed even in case of block grafts if the fragments do not maintain position.
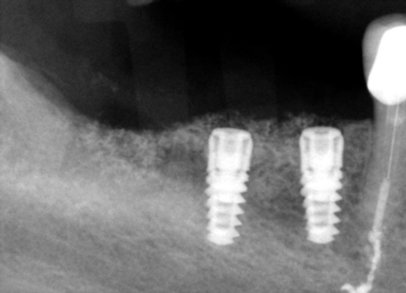
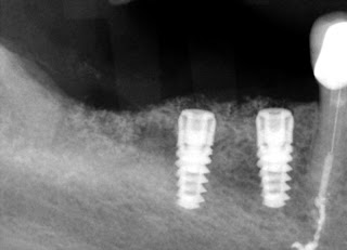
Three or four months later the graft is on its way to being replaced by the body's own bone and one can see the margins of the osteotomy have been bridged over. The increase in vertical height is evident.
Implants have been placed .